В Челябинске школьница сломала три позвонка на уроке физкультуры
В одной из школ Челябинска произошло ЧП: на уроке физкультуры ученица 6 класса, выполняя кувырки, получила серьезную травму.
На уроке физкультуры, на котором учитель демонстрировал технику выполнения кувырков, девочка, как и многие ее одноклассники, демонстрировала свои навыки. Однако после второй попытки, выполнения упражнения, она почувствовала резкую боль в области шеи.
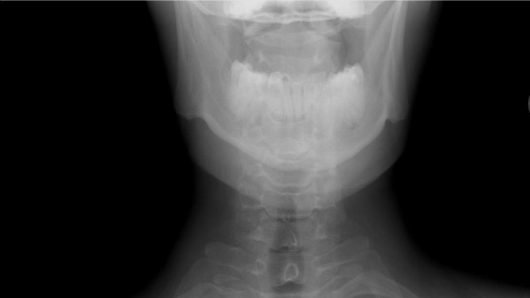
Сразу после инцидента школьница была отправлена в медпункт, где ей оказали первую помощь. Однако состояние ребенка требовало более серьезного вмешательства, и вскоре пострадавшую доставили в больницу. Врачи провели обследование и выявили компрессионные переломы трех позвонков. Это означает, что 6-класснице предстоит долгий путь к восстановлению: около полугода она будет вынуждена носить специальный корсет.
Мать пострадавшей девочки выразила недовольство действиям сотрудников школы. Женщина утверждает, что скорую помощь педагоги вызывать не спешили, что могло усугубить состояние ребенка. В учебном заведении, где произошел инцидент, началась внутренняя проверка.









































