В Челябинске врач-генетик помогла девушке, которую долго лечили от другой болезни

В Челябинске врач-генетик помогла девушке, которую долго лечили от другой болезни

В Челябинске врач-генетик помогла девушке, которую долго лечили от другой болезни.

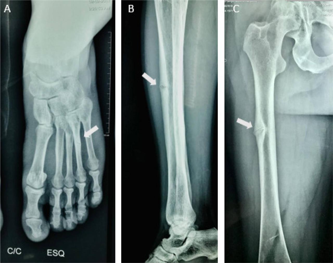
В ЧОДКБ поступила 15-летня девочка с жалобами на сильные боли в мышцах, слабость и ухудшение памяти. Из-за этого подросток перестал ходить в колледж и общаться с друзьями.

Ей даже успели сделать операцию по исправлению деформированной стопы. Но после хирургического вмешательства начались осложнения. Не помогли консультации и у московских медиков. Девочку даже начали подозревать в симуляции.

Неизвестно чем бы все закончилось, если бы пациентка не челябинский врач-генетик. Выяснилось, что проблема не в костях, а в редком генетическом заболевании. После постановки верного диагноза и лечения, организм начал восстанавливаться. Девушка снова вернулась к учебе в колледже и друзьям.

Источник: Telegram-канал "31tv.ru | Челябинск"

Топ

Лента новостей