В Челябинске врачи помогли подростку справиться с редким генетическим заболеванием

В Челябинске врачи помогли подростку справиться с редким генетическим заболеванием

В Челябинске врачи помогли подростку справиться с редким генетическим заболеванием

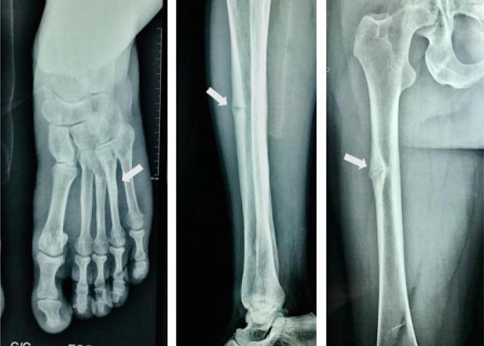
Врач-генетик из Челябинской областной детской клинической больницы помогла 15-летней девочке справиться с серьезным наследственным заболеванием. На протяжении нескольких лет она страдала от болей в мышцах, а из-за проблем с памятью не могла продолжать учебу.

На прием к специалисту подростка отвела мать. Она же рассказала, что несколько лет назад дочка сильно изменилась: замкнулась в себе и начала сильно уставать. Из-за этого ей пришлось даже бросить колледж.

– К моему удивлению, никто из врачей не заметил снижение щелочной фосфатазы, неоднократно выявленной при анализах. Просто продолжали реабилитацию, – подметила врач-генетик ЧОДКБ Алена Побединская. – Это может сигнализировать о возможной наследственной гипофосфатазии.

Это генетическое заболевание часто вызывает выпадение зубов, ломкость костей, а также ухудшение памяти и почечную недостаточность.

Подписаться на @vecherchel | Предложить новость | Голосовать за канал

Источник: Telegram-канал "Вечёрка"

Топ

Лента новостей